US makes new Alzheimer’s drug more widely accessible
The US drug regulator gave full approval to a new Alzheimer’s medicine on Thursday, a move that makes it more ...
The US drug regulator gave full approval to a new Alzheimer’s medicine on Thursday, a move that makes it more ...
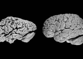
WEB DESK The first drug to slow the destruction of the brain in Alzheimer's has been heralded as momentous. The ...